TAC
a CATANIA
Servizi Diagnostici Integrati è il tuo centro di riferimento per l'esecuzione di esami di TAC a Catania. La Tomografia Assiale Computerizzata (TC) è uno strumento diagnostico di fondamentale importanza, che sfrutta i raggi X e la tecnologia digitale per produrre immagini dettagliate delle sezioni corporee. Presso la nostra struttura, garantiamo la massima accuratezza diagnostica grazie all'utilizzo di apparecchiature multistrato di ultima generazione, capaci di eseguire l'esame in tempi rapidi e con dosi di radiazioni ottimizzate per la sicurezza del paziente. Scegliere Servizi Diagnostici Integrati a Catania significa affidarsi a professionisti per ottenere diagnosi rapide e precise.
TAC
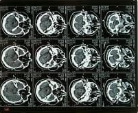
TAC CRANIO ED ENCEFALO
è un esame di imaging rapido e dettagliato che viene eseguito per visualizzare le strutture ossee del cranio e il tessuto cerebrale
ESAMI ESEGUIBILI:
- TAC Encefalo
- TAC Collo e Gola
- TAC Massiccio Facciale
- TAC Rocche e Mastoidi
- TAC Orecchio Interno
- TAC Occhio
- TAC ATM (Articolazioni Temporo-Mandibolari)
TAC
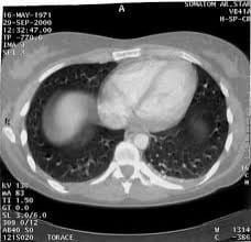
TAC TORACE E ADDOME
Tecnologia che consente di acquisire immagini estremamente dettagliate di organi interni, vasi sanguigni e tessuti molli del corpo.
ESAMI ESEGUIBILI:
- TAC Torace (inclusa TC Torace a strato sottile per parenchima polmonare)
- TAC Addome Superiore
- TAC Addome Inferiore (Pelvi)
- TAC Addome Completo
- Uro-TAC (Tecnica lenta per lo studio dell'apparato urinario)
- TAC Total Body (Encefalo-Torace-Addome-Pelvi)
TAC
TAC OSTEOARTICOLARE
Permette di ottenere immagini dettagliate e in 3D delle strutture ossee e delle articolazioni, molto più precise di una semplice radiografia.
ESAMI ESEGUIBILI:
- TAC Rachide Cervicale
- TAC Rachide Dorsale
- TAC Rachide Lombo-Sacrale
- TAC Sacrococcigea
- TAC Spalla e Gomito/Arto Superiore
- TAC Polso e Mano
- TAC Bacino e Anca
- TAC Femore, Ginocchio e Gamba
- TAC Caviglia e Piede
Protocolli avanzati per indagini neurologiche, addominali e osteoarticolari.
TAC: Indagini con e senza Mezzo di Contrasto
Presso Servizi Diagnostici Integrati a Catania, l'offerta di Tomografia Computerizzata (TC) è completa e spazia dalla neurologia all'ortopedia. Eseguiamo tutte le principali indagini corporee necessarie, garantendo immagini ad alta risoluzione essenziali per i medici specialisti. I nostri protocolli includono la TAC dell'Encefalo, la TAC del Torace e indagini complesse sull'Addome, come la Uro-TAC e i protocolli vascolari con Mezzo di Contrasto (M.d.C.). L'alta risoluzione dei nostri macchinari è particolarmente efficace anche nello studio della Colonna Vertebrale e delle Articolazioni (TAC Osteoarticolare), indispensabile per traumi e patologie degenerative. La nostra missione è fornire a tutti i pazienti di Catania e provincia un servizio di TAC affidabile, sicuro e tecnologicamente avanzato, assicurando un percorso diagnostico rapido e preciso.
FAQ
Domande Frequenti
Per rispondere a tutte le vostre domande sulla Tomografia Assiale Computerizzata (TAC) e sui nostri Servizi Diagnostici Integrati a Catania, abbiamo raccolto le informazioni essenziali. Il nostro obiettivo è fornirvi un quadro completo per affrontare l'esame con serenità e consapevolezza. Scoprite le principali applicazioni della TAC diagnostica e della Dental Scanner (CBCT), e le precauzioni necessarie per affrontare l'esame con i nostri specialisti.
Quali sono i principali tipi di esami TAC eseguiti nel vostro centro di Catania?
Offriamo un servizio completo di TAC a Catania, suddiviso in aree specialistiche. Eseguiamo regolarmente esami di TAC del tronco (Torace, Addome, Total Body), TAC osteoarticolare (colonna, arti) e indagini specializzate come l'Uro-TAC per le vie urinarie. Un servizio di punta è la TAC Cone Beam (Dental Scanner), dedicata alla diagnostica maxillofacciale con un dosaggio ottimizzato.
A cosa serve specificamente la TAC con Mezzo di Contrasto e cosa devo aspettarmi?
a TAC con mezzo di contrasto serve a migliorare la visualizzazione di vasi sanguigni, lesioni e anomalie organiche (come tumori o infiammazioni) che potrebbero non essere chiare in una scansione senza M.d.C. È un liquido iniettato in vena che può dare una breve sensazione di calore. È fondamentale eseguire esami del sangue recenti (creatinina) prima di una TAC con contrasto per verificare la funzionalità renale e informare il personale di Servizi Diagnostici Integrati su eventuali allergie.
La TAC utilizza radiazioni ionizzanti? Qual è la politica di Servizi Diagnostici Integrati a Catania sulla sicurezza?
Sì, la TAC utilizza raggi X (radiazioni ionizzanti). Tuttavia, presso Servizi Diagnostici Integrati a Catania, impieghiamo apparecchiature multistrato di ultima generazione con protocolli a basso dosaggio. Questo ci permette di ottenere immagini diagnostiche di alta qualità riducendo al minimo l'esposizione del paziente. La nostra priorità è garantire la massima sicurezza radiologica in ogni esecuzione della Tomografia Computerizzata.
Macchinari multistrato e assistenza completa
Tecnologia, Sicurezza e Processo d’Esame
La qualità degli esami
TAC a Catania in
Servizi Diagnostici Integrati è garantita dall'utilizzo di strumentazione multistrato, che consente di acquisire un maggior numero di dati in minor tempo e con un dosaggio di radiazioni ottimizzato per la sicurezza del paziente. Comprendiamo che la preparazione all'esame, soprattutto in caso di M.d.C., possa generare dubbi; per questo, il nostro team di professionisti è sempre disponibile a fornire assistenza dettagliata sulle
preparazioni agli esami e sui tempi di attesa. Offriamo la possibilità di ritirare i referti online, velocizzando l'intero processo. Scegliendo
Servizi Diagnostici Integrati, scegli un servizio di
Tomografia Computerizzata che pone la tecnologia al servizio della tua tranquillità e salute.







